مراهق أردني يصاب بـ«الفشار القاتل» بسبب التدخين الإلكتروني

0
117

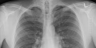
في حادثة صادمة تُسلّط الضوء على المخاطر المتزايدة لتدخين السجائر الإلكترونية بين المراهقين، أُصيب فتى أردني يبلغ من العمر 16 عامًا بحالة صحية نادرة وخطيرة تُعرف بـ”رئة الفشار” (Popcorn Lung)، نتيجة تدخينه “الفيب” سرًا لمدة عام دون علم أسرته، ما تسبب له بتلف رئوي مزمن يستدعي الاعتماد على الأوكسجين مدى الحياة.

كان من المفترض أن يعيش هذا الشاب حياة مليئة بالنشاط والحركة كغيره من أقرانه، لكن عاداته السرية في تدخين السجائر الإلكترونية غيّرت مجرى حياته، وبعد عام من الاستخدام المستمر، بدأ يعاني من ضيق حاد في التنفس، ما استدعى نقله إلى المستشفى في حالة طارئة.

وأظهرت الفحوصات الطبية إصابته بفشل رئوي حاد ناتج عن التهاب القصيبات الانسدادي، وهو مرض يُعرف شعبياً بـ”رئة الفشار”، ما استوجب تزويده بالأوكسجين بشكل دائم، حتى أثناء ذهابه إلى المدرسة.

الدكتور همام الشققي، استشاري طب الرئة، أوضح في حديث لـ”سكاي نيوز عربية” أن “رئة الفشار” هي حالة طبية خطيرة ناتجة عن التعرض لمادة كيميائية تُعرف باسم “دي أستايل” (Diacetyl)، والتي تُستخدم في نكهات بعض أنواع الفيب، وقد ارتبطت سابقًا بإصابة عمال مصانع الفشار بهذا المرض.

“ما يجعل الأمر خطيرًا هو أن هذه المادة تدخل مباشرة إلى الرئتين وتسبب التهابات شديدة وتلفًا دائمًا في الشعب الهوائية”، أضاف الدكتور الشققي.

ورغم الترويج للفيب كبديل “أكثر أمانًا” عن السجائر التقليدية، شدد الدكتور الشققي على أن الأبحاث الحديثة أثبتت أنه يُسبب ضررًا مشابهًا، بل وقد يكون أشد سرعة وخطورة في بعض الحالات.

وقال: “كنا نعتقد قبل 15 عامًا أن الفيب قد يكون خيارًا أقل ضررًا، لكن اليوم نواجه حالات حادة مثل الفتى الأردني، وهو أمر يدعو للقلق”.

وأشار الشققي إلى أن سهولة الحصول على منتجات الفيب من الأسواق، وانتشارها على وسائل التواصل الاجتماعي بنكهاتها الجذابة مثل الفواكه والعلكة والكابتشينو، زاد من إقبال المراهقين عليها.

وأكد أن هناك انطباعًا خاطئًا يُروَّج بأن الفيب “عصري” و”غير ضار”، وهو ما يُغري المراهقين ويشجعهم على تجربته بدافع التقليد.

ونبّه الشققي إلى ضرورة عدم التهاون بأعراض مثل السعال المزمن، أو ضيق التنفس، أو آلام الصدر، لأنها قد تكون مؤشرات مبكرة على أضرار كبيرة في الجهاز التنفسي.

كما حذر من ظواهر صحية أخرى ظهرت مؤخرًا بين مستخدمي الفيب مثل “لسان الفيب”، الذي يؤدي إلى فقدان حاسة التذوق والتهابات الفم.

واختتم الشققي حديثه بدعوة إلى تكثيف الحملات التوعوية، وفرض رقابة صارمة على بيع وترويج منتجات الفيب، خصوصًا بين فئة الشباب.

“جيل اليوم أكثر عرضة للتأثر بما يشاهده على الإنترنت، وعلينا كأطباء وأهالٍ أن نتكاتف لمواجهة هذا الخطر المتصاعد”، قال الشققي.

وأكد أن “الوقاية والتوعية هما الوسيلتان الوحيدتان لتفادي مأساة صحية قد تلازم الفرد مدى حياته”.

The post مراهق أردني يصاب بـ«الفشار القاتل» بسبب التدخين الإلكتروني appeared first on عين ليبيا آخر أخبار ليبيا.